Teeth Whitening
For Whiter, Brighter Smiles
Even if you have perfectly aligned teeth, you may feel hesitant to flaunt them if they lack the
dazzling white shine you desire. Over time, teeth can become discoloured due to various factors, including cleaning habits and dietary choices. Certain foods, such as coffee or red wine, are notorious for causing teeth discolouration.
Fortunately, there is a solution to this problem! At Dynamic Dental Studio, we offer Boutique
Whitening systems to help you reclaim your radiant smile. Our premium quality whitening gel
delivers exceptional results, with noticeable improvement in just a few days.
Boutique Whitening is designed to seamlessly fit into your lifestyle, providing you with the flexibility to whiten your teeth your way. You can choose Boutique By Day, which requires only 1
hour of wear time per day, or opt for Boutique By Night to whiten your teeth as you sleep.

When it comes to achieving rapid results, Boutique employs the highest strength formula
available. Its pH neutral gels ensure teeth protection, while integrated potassium nitrate helps
reduce sensitivity. With its high-water content, the gel keeps your teeth hydrated, and its thicker
consistency prevents saliva-washout.
So how does Boutique Whitening work? It utilises a double-action formula to give you a stunning white smile. The whitening gels break down to release oxygen ions, effectively removing surface stains. Simultaneously, they penetrate deep into the tooth, whitening it from the inside out.
As everyone's teeth are unique and start at different shades, it is important to consult your dentist to determine the best product for you and to understand the realistic results that can be
achieved. (Whitening is not recommended if pregnant or breastfeeding).
Reclaim your confidence and enjoy the benefits of a brighter, more radiant smile.
Contact us today to book a consultation with our dental professionals who will guide you through the Boutique Whitening process and help you achieve your desired results.
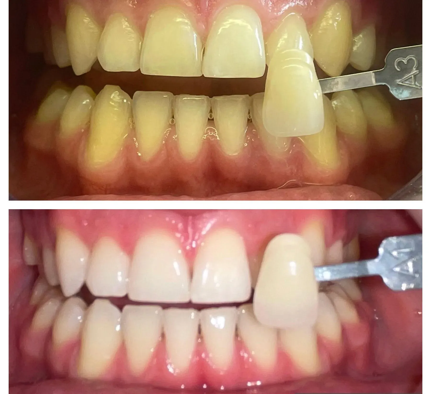
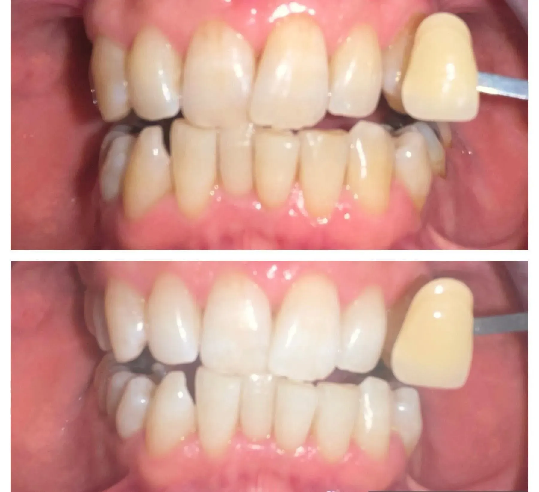
Our Results
Make an Appointment Today
A beautiful smile is just a call away! At Dynamic Dental Studio, your smile is our reward. Even after just one treatment, you’ll start to see amazing improvements. Contact our practice today to learn more about our teeth whitening treatments and to book an appointment.
About Our Practice
Here's What Makes Us Different

Professional Oral Health Educators

Detailed Consultations for All Services
We Go That Extra Mile For Your Perfect Smile

Timely and Considerate Service
Dental Treatments
As a private general dentist, we work with patients of all ages. From children to seniors, we provide just about all of the dental and oral health care that you require.
Dynamic Dental Studio uses White Dental Beauty tooth whitening systems to help you bring back your smile.
Active Aligners
Active Aligners straighten your teeth effectively. Constructed from a superior, transparent plastic material, eliminating the need for metal brackets, wires or screws. These aligners are practically invisible, providing you with the ability to wear them unnoticed by others.
Hygienist
It’s recommended that you have professional teeth cleaning and exam at least twice a year.
Dental crowns are tooth-coloured and -shaped caps that are fitted over an existing tooth in order to protect the tooth in question and improve overall oral health.









